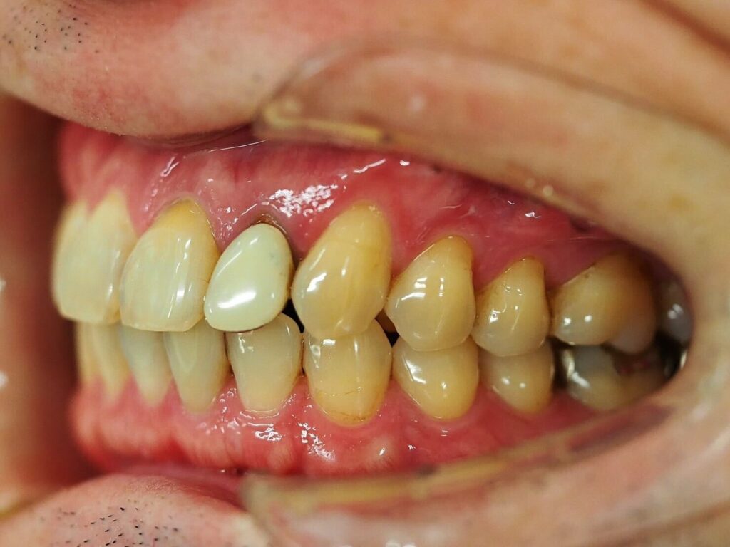
【審美治療】
黒ずんでいるので
自然な被せ物に
治したい
治療前

治療後

治療前

治療後

| 担当医 | 藤本 修平 |
|---|---|
| 主訴 | 左上の前歯の被せ物の歯茎との間が黒ずんでいるので、自然な被せ物に治したい それに伴い口臭もする気がする。 |
| 期間 | 1回 |
| 費用 | 165,000円(税込) |
| 治療内容 | 左上2ジルコニアクラウン(プレミアム)を用いた補綴処置 |
| 治療に伴うリスク | 強い力が加わると、ごく稀に欠けたり壊れる可能性がある。 |













