ここまで変わる!
当院の審美歯科治療の症例
審美歯科について

審美歯科(しんびしか)とは?
審美歯科(しんびしか)とは、美しさに焦点を当てた総合的な歯科医療分野の事を指します。ただし、不自然なほど真っ白な歯にするということではなく、審美歯科治療における究極の美しさとは歯科医師の目から見ても天然歯と全く識別できないほどの自然美を回復することにあります。
たとえその歯が年齢を重ねて褐色に変色し、噛み合わせがすり減り、形の悪い歯であったとしても、周りの歯と全く識別できないほどに調和し、天然歯のように機能しているのならば、それはとても美しく感じます。
これまでの歯科医療技術では、天然歯と判別できないレベルまでの処置を行うことは非常に困難でしたが、現在ではそれが可能になってきました。歯の美しさは色、形だけではなく、そこに自然美をプラスすることで初めて生まれます。天然歯のような輝く美しさを皆様ににお届けしたいと思っています。
通常の歯科治療よりもより見た目の改善を重視される患者様におすすめするのが審美歯科治療です。当院では以下のようなご希望の患者様が来院されています。
来院される患者様のご希望
- 何年か前に詰めた銀歯を白くしたい
- 歯と歯ぐきの間の黒い部分をキレイにしたい
- 前歯の形や色、向きが気になる
- 全体的に歯を白くしたい
- 1本だけ色の違う歯が気になる
- 被せ物の材質の比較
上質なセラミックによる審美治療
見た目の改善を重視する審美治療では、「セラミック」による詰め物、被せ物が主流となっています。上質なセラミックは自由診療(保険適用外)の治療となりますが、保険適用の材質よりも天然の歯に近い色を出すことが可能です。
患者様のご希望に合わせたご提案をしておりますので、ご興味のある方はお気軽にご相談ください。
審美歯科のメリットについて
- 天然の歯に近い色合いと透明感があります。
- 保険の歯と比べて強度があります。
- 金属を使用していない素材なら、金属アレルギーの心配がありません。
当院の審美歯科(しんびしか)の特徴について
歯を削らない治療
「できるだけ天然歯を傷つけない。」これは私たちの審美歯科治療の一番のこだわりです。歯を長持ちさせるために、天然歯以上に優れた人工の歯はありません。たくさん歯を削ってセラミックの歯を入れることは簡単なことですが、それは一時的にきれいになったように見えているだけで、長い目で見ると必ずトラブルが起こります。
今、ヨーロッパを中心に世界の審美歯科はできるだけ歯にダメージを与えずに美しく治療をするということに注目が集まっています。そのためにはデジタル技術を駆使した最新の治療が欠かせなくなっています。大切なあなたの歯を一生長持ちさせるために、最小限の侵襲で天然歯以上の美しい歯をお届けします。
最新のデジタル治療で短期間の治療
私たちの日常生活もかなりデジタル化されてきていますが、歯科治療も今やデジタルの時代になっています。デジタル治療に関しては設備投資も技術習得もある程度のハードルがあるため、どこの医院でも同じくらいのレベルにあるわけではありませんが、当院では積極的に導入をしております。
デジタル治療のメリットは、治療の短期間化、データ記録化、などによって治療をわかりやすく、手間を減らして、短期間化することです。最新の設備で、最先端の審美修復治療をお届けします。
完全オーダーメイドの精密な治療
審美歯科治療やインプラント治療に習熟した歯科技工士が患者様のご要望を聞きながら一人一人の患者様に合わせた歯をオーダーメイドで製作しますので、きっとご希望通りの歯を手に入れることができると思います。
一眼レフカメラを用いて口腔内撮影を行い、形態や色調を患者様と共有することで緻密なご要望にお応えいたします。
当院の審美歯科で
用いる素材について
セラミック
補綴物:
オールセラミックインレー、
オールセラミッククラウン
メリット
- 天然歯にかぎりなく近い色なので目立たない
- 金属アレルギーの心配がない
- 生体親和性に優れている
- 変色がない
- プラークが付着しにくく虫歯になりにくい
- 色が白く透明感があり審美的
デメリット
- 歯を削る量が少し多くなってしまう。
- 保険適応外のため治療費が高くなる
ジルコニアセラミック
補綴物:
ジルコニアインレー、
ジルコニアクラウン
メリット
- 割れにくい・壊れにくい
- 体に優しい安全な材料
- 色が白く審美的
- 汚れがつきにくく、変色しない
デメリット
- 歯を削る量が少し多くなってしまう。
- 研磨や調整が難しい。
- 保険がきかないので自費診療になる。
審美歯科治療の
症例について
当院での審美歯科治療で、自然な仕上がりに。
色調に関しては、白いだけがいいということではありません。
自然な仕上がりになるよう、専属の技工士と連携し、作り上げていきます。
もちろん、色、形のご要望を最優先いたします。
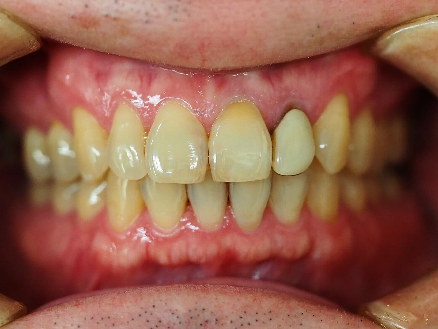
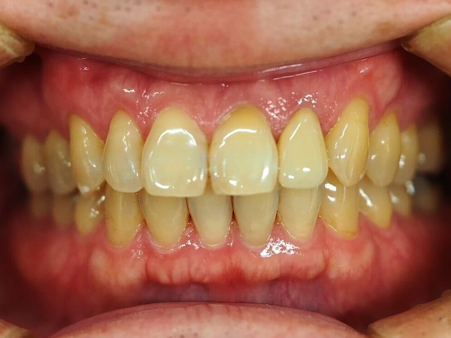
上の前歯2から2まで4本分ジルコニアレイヤリングにて審美修復。テトラサイクリン歯の再現を行った。
治療前
治療中
治療後
| 主訴 | 上のかぶせが欠けた。自然なかぶせにしてほしい。 |
|---|---|
| 治療期間 | 1ヶ月 |
| 治療費 | 132,000円×4本=528,000円(税込) |
| 治療のリスク | 特になし |
「ダイレクトボンディング」を詳しく見る















